Top.Mail.Ru
Саратов
Пункт самовывоза: Саратов, ул Большая Садовая, зд. 17К
Зелёный свет
вашей клинике

Профилактика повреждения альвеоло-антральной артерии при проведении открытого синус-лифтинга

Профилактика повреждения альвеоло-антральной артерии при проведении открытого синус-лифтинга

Недостаток объёма костной ткани альвеолярного гребня в боковом отделе верхней челюсти обусловлен рядом анатомических и физиологических факторов. Одним из вариантов устранения этой проблемы является метод субантральной аугментации, и в частности, техника открытого синус-лифтинга, показаниями к которой являются дефицит высоты альвеолярного гребня и узкая пазуха [1,2].

Суть метода заключается в создании костного окна в стенке верхнечелюстного синуса и размещении в пространстве между альвеолярной костью и мембраной Шнайдера костного материала для создания необходимого объёма костной ткани с целью последующей установки дентальных имплантатов [3,4].

Не смотря на то, что открытый синус-лифтинг считается безопасной и предсказуемой процедурой, во время его проведения может возникнуть ряд осложнений [3,14,15]. На первом месте среди интраоперационных осложнений стоит перфорация мембраны Шнайдера [2,15,20]. На сегодняшний день это сообщение легко устраняется во время операции путём ушивания раны или размещением коллагеновой мембраны [2]. На втором месте - возникновение кровотечения из альвеоло-антральной артерии (ААА) – анастомоза подглазничной и верхней задней альвеолярной артерий [2,3,14,15].


1.jpg


Вышеназванная артерия проходит в латеральной стенке верхнечелюстной пазухи или прилежит к ней и питает мембрану Шнайдера, костную стенку синуса, а также надкостницу [3].

Повреждение данного сосуда может спровоцировать обильное кровотечение, что приведет к ухудшению визуализации хирургического поля, повышенному риску повреждения мембраны Шнайдера, а также к возможному смещению положения костного материала.


Предоперационное планирование

Для полного анализа индивидуальной анатомии верхнечелюстного синуса, а также для выбора тактики лечения с проведением хирургического доступа, наиболее информативным методом обследования является конусно-лучевая компьютерная томография (КЛКТ).

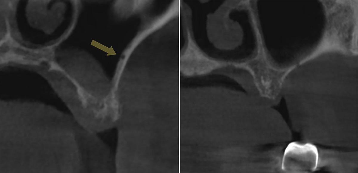
Для определения расположения ААА на КЛКТ важно выявить дискретный канал или вдавление в латеральной стенке верхнечелюстного синуса (рис 1.a, b) [2,16].

рис 1.jpg

Рисунок 1. Рентгенологические признаки альвеоло-антральной артерии на коронарном реформате КЛКТ.
a: вдавление в латеральной стенке верхнечелюстного синуса (стрелка);
b: прерывание стенки верхнечелюстного синуса.


К сожалению, по нашим данным (Аванесов, Седов, Морданов и др, 2018) встречаемость признаков данной артерии на КЛКТ составляет 76%. При условии визуализации ААА на КЛКТ, после виртуального планирования расположения имплантатов, возможно спроектировать дизайн хирургического шаблона таким образом, чтобы можно было безопасно провести технику открытого синус-лифтинга (рис 2).

 рис 2.jpg

Рисунок 2. Планирование положения имплантатов на КЛКТ.
Спроектирован дизайн шаблона, который также включает рамку для антротомии, разработанную в соответствии с протоколом операции.

Однако, даже при отсутствии рентгенологических признаков артерии, клиницистам не следует забывать о её наличии, потому как она может прилегать к стенке без признаков визуализации на КЛКТ.

 

Интраоперационная профилактика повреждения альвеоло-антральной артерии.

В случае определения наличия ААА в области планируемой операции, предстоит выбрать один из возможных профилактических вариантов проведения операции синус-лифтинга.


I. Применение пьезохирургических насадок

Одной из методик снижения риска повреждения мягких тканей и других структур, таких как нервные волокна и кровеносные сосуды (в том числе и альвеоло-антральная артерия) даже при случайном контакте во время проведения синус-лифтинга (рис 3), является использование ультразвуковых пьезохирургических устройств [2,21].

рис 3.jpg 

Рисунок 3. Целостность мембраны Шнайдера и альвеоло-антральной артерии при проведении латеральной антротомии с помощью пьезохирургических насадок (фото Len Tolstunov. Horizontal Alveolar Ridge Augmentation in Implant Dentistry: A Surgical Manual).


II. Использование костного скребка

Другим методом предотвращения повреждения ААА является бережное удаление костной ткани с помощью костных скребков [20,21].

Использование костных скребков при антротомии является довольно простой и безопасной процедурой. Также костный скребок позволяет собирать аутогенный костный материал в виде частиц, который может быть использован при проведении аугментации.


III. Дизайн костного окна

Ещё одним вариантом интраоперационной профилактики является изменение дизайна костного окна. В современной литературе представлен ряд различных методик [21,22,23]. Некоторые авторы предлагают изменить форму окна с овальной или круглой формы на продольную, расположенную выше или ниже альвеоло-антральной артерии [22].

Например, предлагается сместить нижнюю границу остеотомии до уровня дна верхнечелюстной пазухи, а высота окна должна составлять менее 6 мм (Рис 4) [23].

 рис 4.jpg

Рисунок 4. Нижняя граница остеотомии расположена на уровне дна верхнечелюстного синуса, а высота окна составляет менее 6 мм (фото Zaniol T, Zaniol A. A Rational Approach to Sinus Augmentation: The Low Window Sinus Lift.)

Другим вариантом изоляции альвеоло-антральной артерии во время проведения антротомии является техника двойного окна [23]. Создаются два доступа, где верхнее и нижнее окна разделены костной перегородкой по ходу альвеоло-антральной артерии (рис 5) [23].

 рис 5.jpg

Рисунок 5. Дизайн двойного окна. Альвеоло-антральная артерия остается прикрыта костной стенкой для защиты от возможных повреждений (фото Maridati P, Stoffella E, Speroni S, Cicciu M, Maiorana C. Alveolar Antral Artery Isolation During Sinus Lift Procedure with the Double Window Technique).


Заключение

Таким образом, тщательное планирование открытого синус-лифтинга с помощью КЛКТ и использование современных методик и инструментов для проведения остеотомии помогут снизить риск повреждения тканей и, как следствие, осложнений.


Список литературы

  1. Cricchio G., Sennerby L., Lundgren S. Sinus bone formation and implant survival after sinus membrane elevation and implant placement: a 1- to 6-year follow-up study. Clinical Oral Implants Research. 2011;22(10):1200–1212. doi: 10.1111/j.1600-0501.2010.02096.x.

  2. Len Tolstunov. Horizontal Alveolar Ridge Augmentation in Implant Dentistry: A Surgical Manual. Wiley-Blackwell. February 2016 – 320

  3. Danesh-Sani S. A., Loomer P. M., Wallace S. S. A comprehensive clinical review of maxillary sinus floor elevation: anatomy, techniques, biomaterials and complications. British Journal of Oral and Maxillofacial Surgery. 2016;54(7):724–730. doi: 10.1016/j.bjoms.2016.05.008

  4. Naofumi Aoki, Takeo Kanayama, Michinori Maeda, Koichiro Horii, Hironori Miyamoto, Keinoshin Wada, Yasutaka Ojima, Tsukasa Tsuchimochi and Yasuyuki Shibuya. (2016) Sinus Augmentation by Platelet-Rich Fibrin Alone: A Report of Two Cases with Histological Examinations. CaseRepDent. 2016; 2016: 2654645. Publishedonline 2016 Oct 3. doi:  10.1155/2016/2654645

  5. Tatum Jr H. Maxillary and sinus implant reconstructions. Dental clinics of North America. 1986;30(2):207–229.

  6. Tatum O. H., Jr., Lebowitz M. S., Tatum C. A., Borgner R. A. Sinus augmentation. Rationale, development, long-term results. The New York State Dental Journal. 1993;59(5):43–48.

  7. Summers R. B. A new concept in maxillary implant surgery: the osteotome technique. Compendium. 1994;15(2, article 152):154–156.

  8. Cosci F., Luccioli M. A new sinus lift technique in conjunction with placement of 265 implants: a 6-year retrospective study. Implant Dentistry. 2000;9(4):363–366. doi: 10.1097/00008505-200009040-00014 Related Research 11: 149-157.

  9. Trombelli L., Franceschetti G., Stacchi C., et al. Minimally invasive transcrestal sinus floor elevation with deproteinized bovine bone or β-tricalcium phosphate: a multicenter, double-blind, randomized, controlled clinical trial. Journal of Clinical Periodontology. 2014;41(3):311–319. doi: 10.1111/jcpe.12210.

  10. Chiapasco M, Casentini P, Zaniboni M. Bone augmentation procedures in implant dentistry. Int J Oral Maxillofac Implants. 2009;24 Suppl:237–59. 

  11. Maridati P, Stoffella E, Speroni S, Cicciu M, Maiorana C. Alveolar antral artery isolation during sinus lift procedure with the double window technique. Open Dent J. 2014;30:95–103.

  12. Daniel W. K. Kao. Clinical Maxillary Sinus Elevation Surgery. May 2014, Wiley-Blackwell – 200.

  13. Smiler DG. the sinus lift graft: basic technique and variations. Pract Periodontics Aesthet Dent 9 (1997):885–893.

  14. Varela-Centelles P, Loira-Gago M, Gonzalez-Mosquera A, Seoane-Romero JM, Garcia-Martin JM, Seoane J. Distance of the alveolar antral artery from the alveolar crest. Related factors and surgical considerations in sinus floor elevation. Medicina Oral, Patología Oral y CirugíaBucal. 2016;21(6):e758-e765. doi:10.4317/medoral.21475.

  15. Jensen SS, Eriksen J, Schiodt M. Severe bleeding after sinus floor elevation using the transcrestal technique: a case report. Eur J Oral Implantol. 2012;5:287–91.

  16. KaufmanE.Maxillarysinuselevationsurgery:Anoverview. J EsthetRestor Dent 2003;15(5):272-82.

  17. Vandenbergh JP, Tenbruggenkate CM, DischFJ,tuinzingdb. Anatomical aspects of sinus floor elevations. Clin Oral Implants Res 11 (2000):256–265

  18. Maestre-Ferrín L, Galán-Gil S, Carrillo-García C, Peñarrocha-Diago M. Radiographic findings in the maxillary sinus: comparison of panoramic radiography with computed tomography. Int J Oral Maxillofac Implants. 2011 г. Mar-Apr, 26 (2): 341-6.
  19. Baciut M, Hedesiu M, Bran S, Jacobs R, Nackaerts O, Baciut G. Pre- and postoperative assessment of sinus grafting procedures using cone-beam computed tomography compared with panoramic radiographs. Clin Oral Implants Res. 2013 May;24(5):512-6. doi: 10.1111/j.1600-0501.2011.02408.x. Epub 2012 Jan 6.

  20. MARTOS DIAZ, Pedro et al. Sinus elevation by in situ utilization of bone scrapers: technique and results. Med. oral patol. oralcir.bucal (Internet) [online]. 2007, vol.12, n.7 [citado  2018-04-27], pp.537-541. Disponible en: ISSN 1698-6946.

  21. Rahpeyma A, Khajehahmadi S. Open Sinus Lift Surgery and the Importance of Preoperative Cone-Beam Computed Tomography Scan: A Review. JournalofInternationalOralHealth : JIOH. 2015;7(9):127-133.

  22. Zaniol T, Zaniol A. A Rational Approach to Sinus Augmentation: The Low Window Sinus Lift. Case Reports in Dentistry. 2017;2017:7610607. doi:10.1155/2017/7610607.

  23. Maridati P, Stoffella E, Speroni S, Cicciu M, Maiorana C. Alveolar Antral Artery Isolation During Sinus Lift Procedure with the Double Window Technique. The Open Dentistry Journal. 2014;8:95-103. doi:10.2174/1874210601408010095


Седов_ЮГ.jpg     

Автор:

Седов Юрий Георгиевич - врач стоматолог-хирург, рентгенолог, ассистент кафедры
Общей и клинической стоматологии Российского Университета Дружбы Народов (РУДН)


Нужна консультация?
Подробно расскажем о продукции и услугах, подберем оптимальный вариант и предложим лучшие цены!
В связи с резкими колебаниями курсов валют окончательные цены на интересующие позиции просим уточнять у менеджеров компании. x